
2023年7月25日
アニコム先進医療研究所株式会社
東京大学
国立遺伝学研究所
東京大学大学院農学生命科学研究科の前田真吾准教授、アニコム先進医療研究所株式会社の松本悠貴研究員、国立遺伝学研究所の中村保一教授らの研究グループは、多発性嚢胞腎のネコでのみ検出されるPKD1遺伝子多型を新たに4種類同定しました。
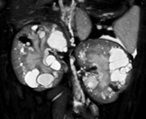
多発性嚢胞腎は、ネコで最も一般的な遺伝性腎疾患です。腎臓に多数の嚢胞が形成されることが特徴であり、時に肝臓や膵臓にも嚢胞が発生します。腎臓に形成された嚢胞は加齢とともに数と大きさを増し、腎実質の圧迫により腎機能が低下します(図1)。ネコ多発性嚢胞腎の多くの症例でPKD1遺伝子エクソン29にナンセンス多型(注1:chrE3:g.42858112C>A)が検出されることが2004年にLyonsらによって報告され、ネコの多発性嚢胞腎の原因と考えられています(図2)。この変異体はストップコドンとなるため、それ以降の翻訳が停止し、C末端側のタンパク質が約25%喪失します。この変異体がホモ接合体の場合、胎生致死となるため、多発性嚢胞腎のネコは必ずヘテロの多型を有することが知られています。これまでに海外における複数の疫学調査が報告されていますが、日本での大規模な疫学調査は行われていませんでした。また、PKD1遺伝子エクソン29のナンセンス多型(chrE3:g.42858112C>A)以外の遺伝子多型が存在するのかについては、国内・海外ともに報告がなく不明でした。
本研究では、2015年から2018年の間に東京大学大学院農学生命科学研究科附属動物医療センターに来院し、血液検査を実施したネコ1,281頭を対象に疫学調査を行いました。各ネコの血液からDNAを抽出し、PKD1遺伝子エクソン29ナンセンス多型(chrE3:g.42858112C>A)の有無を調べたところ、1.8%(23/1,281頭)のネコがPKD1遺伝子エクソン29ナンセンス多型(chrE3:g.42858112C>A)を保有していました。このナンセンス多型は、画像検査で腎臓に多発性の嚢胞を認めた21頭のネコのうち15頭(71.4%)で認められました。ペルシャ、スコティッシュ・フォールド、エキゾチック・ショートヘアでは、他の品種に比べてPKD1遺伝子エクソン29ナンセンス多型(chrE3:g.42858112C>A)を有する確率が有意に高いことがわかりました。
本研究で調べた1,281頭のネコのうち、6頭(0.5%)は画像検査にて腎臓に多発性の嚢胞を確認したものの、PKD1遺伝子エクソン29ナンセンス多型(chrE3:g.42858112C>A)は検出されませんでした。そのためこれら6頭のネコではPKD1遺伝子の他の領域に有害な多型が存在するという仮説を立て、アニコム先進医療研究所株式会社および国立遺伝学研究所と共同で、PKD1遺伝子の全エクソンを対象にターゲットリシーケンス(注2)を実施しました。その結果、PKD1遺伝子エクソン29ナンセンス多型(chrE3:g.42858112C>A)を持たない多発性嚢胞腎のネコでのみ検出される4種類の新規遺伝子多型(chrE3:g.42848361A>C、chrE3:g.42848725delC、chrE3:g.42849470G>C、chrE3:g.42850283C>T)を同定しました(図3)。興味深いことに、新たに同定された4種類のPKD1遺伝子多型はすべてエクソン15に位置していました。この中で、chrE3:g.42848725delCはフレームシフトを起こす多型(注3)であることから翻訳産物に大きなダメージを与えると考えられました。残りの3つの多型はミスセンス多型(注4)でしたが、この中で特にchrE3:g.42850283C>Tが翻訳産物にダメージを与える可能性のある多型であることが解析プログラムにより予想されました。
本研究成果は、ネコの多発性嚢胞腎における病態生理の理解、新規遺伝子診断の開発、ひいては遺伝子検査に基づいた適切な交配による予防法の確立につながる可能性があります。



| 〈雑誌〉 | Journal of Feline Medicine and Surgery |
|---|---|
| 〈題名〉 | Large-scale epidemiological study on feline autosomal dominant polycystic kidney disease and identification of novel PKD1 gene variants |
| 〈著者〉 | Fumitaka Shitamori, Ayaka Nonogaki, Tomoki Motegi, Yuki Matsumoto, Mika Sakamoto, Yasuhiro Tanizawa, Yasukazu Nakamura, Tomohiro Yonezawa, Yasuyuki Momoi, Shingo Maeda*(*責任著者) |
| 〈DOI〉 | 10.1177/1098612X231185393 |
| 〈URL〉 | https://journals.sagepub.com/doi/10.1177/1098612X231185393 |
本研究は、科研費(課題番号:JP19H00968および23H00357)およびアニコムキャピタル研究助成(EVOLVE)の支援により実施されました。
(注1)ナンセンス多型
タンパク質の翻訳を停止させるような遺伝子多型。ナンセンス多型はタンパク質の機能異常を引き起こし、病気の発症につながる可能性がある。
(注2)ターゲットリシーケンス
次世代シーケンサーという装置を使って特定の遺伝子領域の配列を集中的に読む手法。全ゲノムシーケンスと比較して、時間とコストを削減することができる。
(注3)フレームシフト多型
遺伝子の塩基配列に挿入や欠失が生じることで遺伝子の塩基配列がずれてしまい、タンパク質の翻訳が正しく行われなくなるような遺伝子多型。フレームシフト多型はタンパク質の機能異常を引き起こし、病気の発症につながる可能性がある。
(注4)ミスセンス多型
タンパク質の翻訳中にコードされるアミノ酸が別のアミノ酸に置き換わるような遺伝子多型。置き換わるアミノ酸の種類によって、タンパク質の機能異常を起こす場合と起こさない場合がある。